
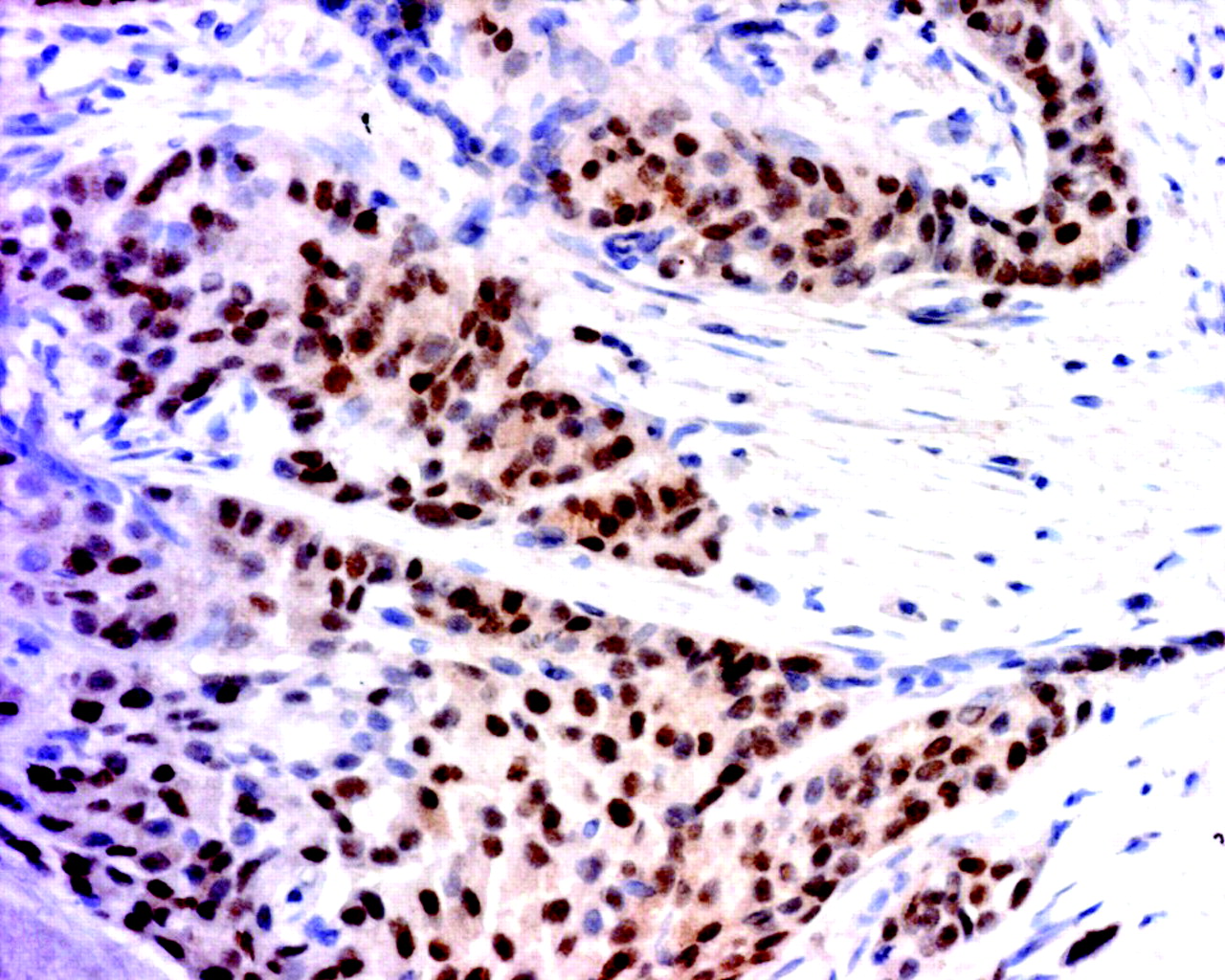
ERα expression. ERα is expressed in about 70% of breast cancer, but, as illustrated above, in ERα -positive breast cancers, there are many ERα -negative cells mixed in with the ERα -positive (brown stain) cells. This image is an example of an invasive ductal cancer of the breast stained with ERα -specific antibody 1D5 (Dako). Cells are counterstained with hematoxylin.